Skada: Fraktur diafys underarm
OBS! Beställ alltid röntgen av både underarm och armbåge vid misstanke om underarmsfraktur!
Klassificering
Galeazzifraktur: fraktur på distala tredjedelen av radius och samtidig luxation av ulnahuvudet (vid DRU-leden).

Galeazzifraktur
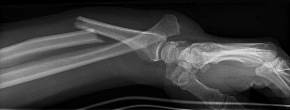
Monteggiafraktur: fraktur på ulna och samtidig luxation av caput radii. Man är inte helt överens om ulnafrakturen ska vara i den proximala tredjedelen eller proximala två tredjedelarna av ulna. Radiushuvudet kan också vara frakturerat istället för luxerat.

Monteggiafraktur
Isolerad diafysär ulnafraktur
Vid påverkat distalstatus, nerv- eller kärlskada
- Förbered för helt akut operation med reponering och plattfixation.
- Om ej återställd cirkulation trots reponering: akut samtal med kärlkirurg.
Fraktur tvärfraktur distala tredjedelen med < 50 % felställning och < 10° vinkelfelställning (nightstick fracture)
Kalkgips (plastgips glider för lätt ner) eller ortos på underarm med fri armbåge och fri handled. Återbesök med röntgenkontroll efter 1 och 8 veckor, avgipsning efter 2 veckor (!) och därefter rörelseträning till smärtgräns. [4, 5]

Nightstickfraktur
Distal enkel, minimalt felställd, stabil fraktur
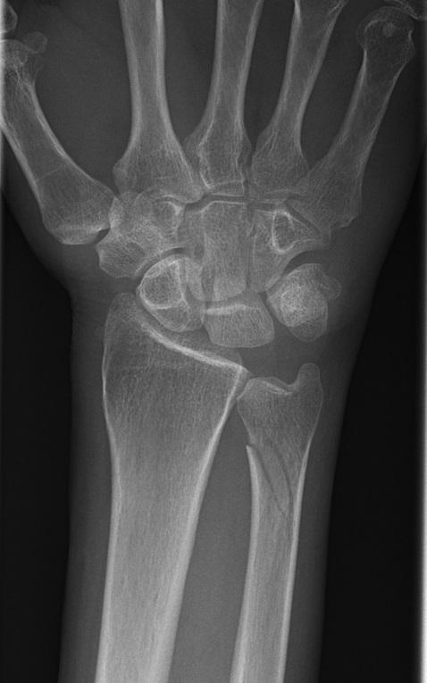
Dorsal gipsskena 4-6 veckor med återbesök med röntgenkontroll efter 1 och ev. även 2 veckor. [6]

Distal stabil ulnafraktur, behandlades med kort gipsskena 4 v
Vid annan minimal felställning och ej Monteggiafraktur
Kan ev. gipsbehandlas med hög gipsskena med armbåge i 90° vinkel. Återbesök med byte till underarmsortos och röntgenkontroll efter 1 vecka. Behandlingstid: 10-14 veckor [2].
Annars (oftast)
Sätt hög gipsskena på akuten, förbered för poliklinisk operation med plattfixation.
Isolerad diafysär radiusfraktur
Vid påverkat distalstatus, nerv- eller kärlskada
- Förbered för helt akut operation med reponering och plattfixation.
- Om ej återställd cirkulation trots reponering: akut samtal med kärlkirurg.
Vid minimal felställning och ej Galeazzifraktur
Kan i enstaka utvalda fall gipsbehandlas med hög gipsskena med armbåge i 90° vinkel. Återbesök med byte till ortos och röntgenkontroll efter 1 vecka. Behandlingstid: 16 veckor [2].
Annars (oftast)
Sätt hög gipsskena på akuten, förbered för poliklinisk operation med plattfixation.
Kombinerad diafysär radius- och ulnafraktur
Vid påverkat distalstatus, nerv- eller kärlskada
- Förbered för helt akut operation med reponering och plattfixation av både ulna och radius.
- Om ej återställd cirkulation trots reponering: akut samtal med kärlkirurg.
Annars
Sätt hög gipsskena på akuten, förbered för poliklinisk operation med plattfixation av både radius och ulna.
ICD-10
- S52.2: Fraktur på ulnaskaftet
- S52.20: Fraktur på ulnaskaftet-sluten
- S52.21: Fraktur på ulnaskaftet-öppen
- S52.3: Fraktur på radiusskaftet
- S52.30: Fraktur på radiusskaftet-sluten
- S52.31: Fraktur på radiusskaftet-öppen
- S52.4: Fraktur på skaften av både ulna och radius
- S52.40: Fraktur på skaften av både ulna och radius-sluten
- S52.41: Fraktur på skaften av både ulna och radius-öppen
Referenser
- Ortopedi - patofysiologi, sjukdomar och trauma hos barn och vuxna av Magnus Karlsson, Jón Karlsson och Harald Roos, ISBN 978-91-44-09084-9
- Skelett- och ledskador av läkarna vid ortopedkliniken i Karlstad, ISBN 9789188840066
- Radius and Ulnar Shaft Fractures på orthobullets.com (besökt 2019-11-16)
- Ulna / Ulnar Shaft Fracture på wheelessonline.com (besökt 2020-03-14)
- Akut ortopedi av Lena Hultman och Johannes Järhult, ISBN 9789147094011
- Extraarticular simple fracture of the ulna på AO Surgery Reference (besökt 2023-01-18)
Uppdaterad: 2025-02-28 08:03:51 av Lars Johanson