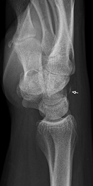
Skada: Fraktur triquetrium
Klassificering
- Dorsal slitfraktur (vanlig fraktur)

- Korpusfraktur

Odislocerad fraktur i korpus, behandlades med dorsal gipsskena i 4 veckor.
Handläggning
- Slitfraktur:
- Dorsal gipsskena i 2-3 veckor [1], avtagning i hemmet
- Kan ge dorsal smärta i flera månader [1]
- Korpusfraktur:
- Kartlägg med DT
- Ofta liten felställning, kan då behandlas med gipsimmobilisering
ICD-10
- S62.1: Fraktur på andra karpalben
- S62.10: Fraktur på andra karpalben-sluten
- S62.11: Fraktur på andra karpalben-öppen
Referenser
- Handkirurgi av Göran Lundborg och Anders Björkman, ISBN 978-91-44-08837-2
Uppdaterad: 2024-12-21 22:20:33 av Lars Johanson