Skada barn: Fraktur falang (barn)
Små barn kan erfarenhetsmässigt tolerera större felställningar än nedan, men inte rotationsfelställning.
Distala falangen
- Ofta är nageln skadad eller luxerad.Vid luxation: [1]
- Lägg fingerbasblockad
- Reponera nageln
- Suturer fast den genom nageln och mot hud proximalt, det stabiliserar ev. fraktur
- Ibland behöver nageln tas bort i fingerbasblockad.
- Vid kontaminerat sår: antibiotikaprofylax i 3 dygn, täta kontroller, kan göras av distriktssköterska eller skolsköterska.
- Fraktur i processus unguicularis kan lämnas utan behandling, men nivåskillnad i nagelbädd ska utjämnas. [1]
- Seymourfraktur - dislocerad Salter-Harris typ I eller II med luxerad nagel där nagelmatrix ligger interponerad i frakturen:
- Behandlas som öppen fraktur
- Antibiotika i.v.
- Snar öppen operation (inom 24 timmar) där man:
- reponerar interponat
- reponerar frakturen
- suturerar nagelanlaget
- fixerar frakturen med längsgående stift förbi DIP-led

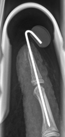
Seymour-fraktur innan, under och efter operation
- Fyseolysfraktur (Salter-Harris typ I) i distala falangen:
- Felställning < 3 mm ad latus:
- Fixeras med DIP-led extenderad med tejp. [1]
- Tejpen kan tas bort i hemmet efter 1-2 veckor. [1]
- Större felställning: planera för operation med stiftning.
- Intraartikulär fraktur:
- Extensorsenfäste (ger droppfinger/malletfinger):
- Om ≤ 3 mm diastas i ledytan och varken luxerad eller subluxerad: [1]
- Fixeras icke-kirurgiskt t.ex. med malletskena med hyperextension i DIP-led. [1]
- Återbesök till läkare med klinisk kontroll efter 4 veckor. [1]
- Annars: planera för operation med stiftning.
- Flexorsenfäste: kontakta barnortoped för ställningstagande till operation. [1]
Grund- eller mellanfalang
- Vid trochleafraktur:
- Ta gärna flera röntgenbilder i olika vridningar för bätre visualisering.
- Kontakta barnortopedjour för ställningstagande till operation. [1]
- Ingen rotations- eller omlottställning tolereras. [1]
- Sätt trillingförband (=trefingertejpning), alt. fix-över-rulle på yngre barn (se treatment.php?id=splint) eller tre- eller fyrfingerskena hos barn > 10 år. [1]
- Vid icke-kirurgisk behandling:
- Återbesök med kontrollröntgen i förband efter 4-6 dagar. [1]
- Förbandsavtagning i hemmet efter 2 veckor. [1]
- Undvik risker 2 veckor efter förbandsavtagning. [1]
- Kondylfraktur:
- Remodelleras dåligt (stort avstånd till fys)
- Kräver god reposition, ofta instabila och svåra att fixera med gips
- Ska ofta åtgärdas kirurgiskt (stiftning)
- Fyseolys med max 20° vinkelfelställning, ingen rotations- eller omlottfelställning: [1]
- Tvillingförband (= tvåfingertejpning) alt. fix-över-rulle på yngre barn (se treatment.php?id=splint). [1]
- Förbandsavtagning i hemmet efter 2 veckor. [1]
- Undvik risker 2 veckor efter förbandsavtagning. [1]
- Vid större felställning så förbered för operation med stiftning.
- Annars, tillåten felställning: ≤ 10° vinkelfelställning, ≤ 2 mm förkortning, ingen rotations- eller omlottfelställning [1]:
- Kontrollera distalstatus (flexion, extension, sensorik) [1]
- Tvillingförband (= tvåfingertejpning) alt. fix-över-rullt på yngre barn (se treatment.php?id=splint) eller tre- eller fyrfingerskena hos barn > 10 år. [1]
- Om frakturen reponerats: återbesök med kontrollröntgen i förband efter ca 4-6 dagar, annars inget återbesök. [1]
- Förbandsavtagning i hemmet efter 2 veckor. [1]
- Undvik risker 2 veckor efter förbandsavtagning.
- Vid större felställning så förbered för operation med stiftning.
ICD-10 (barn)
- S62.5: Fraktur på tumme
- S62.50: Fraktur på tumme, sluten
- S62.51: Fraktur på tumme, öppen
- S62.6: Fraktur på annat finger
- S62.60: Fraktur på annat finger, sluten
- S62.61: Fraktur på annat finger, öppen
- S62.7: Multipla frakturer på fingrar
- S62.70: Multipla frakturer på fingrar, sluten
- S62.71: Multipla frakturer på fingrar, öppen
Referenser (barn)
- Barnfrakturer och luxationer i öppenvård Astrid Lindgrens Barnsjukhus, giltig från 2024-08-22 (besökt 2025-12-10)
Uppdaterad: 2024-12-10 14:08:22 av Lars Johanson