Skada barn: Fraktur distal radius (barn)
Innehåll (barn)
Klassificering (barn)
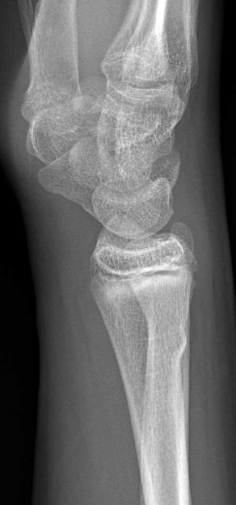
- Infraktionsfraktur = torusfraktur: inkomplett kompressionsfraktur hos barn, kortex är hoptryckt vilket ger en bula i skelettet. Oftast är endast en kortex påverkad medan den andra är intakt. Frakturlinje syns ej.

Torusfraktur
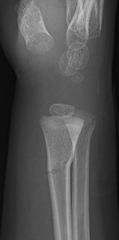
- Greenstickfraktur: ena eller båda kortex är frakturerad men periostet håller hop benet. Frakturlinje syns.

Greenstickfraktur
- Fyseolys, klassificeras i sin tur enligt Salter-Harris (SH) 1-5
- SH1: fraktur som följer fysen
- SH2 (vanligast): fraktur genom fysen och avlösning av metafysärt fragment
- SH3: fraktur genom fys och avlösning av epifysärt fragment
- SH4: fraktur genom metafys och epifys, passerar vinkelrätt genom fysen
- SH5: kompression av fys


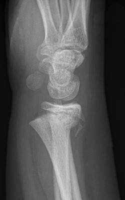
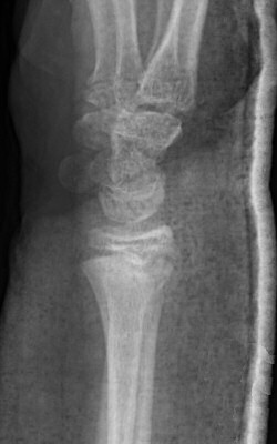
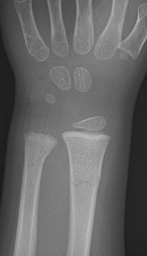
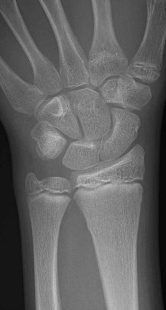
Dorsalbockad distal radiusfyseolys Salter-Harris typ 2 före och efter reposition
Handläggning (barn)
Distal metafysär infraktionsfraktur = torusfraktur
- Dorsal gipsskena alt. elastisk linda i 2-3 veckor, ingen uppföljning, avtagning i hemmet. [1]
- Vid samtidig fraktur på ulna (inte endast avlösning av styloideus ulnae) så hög gipsskena istället för låg.
- Bör undvika risker i 2 veckor efter avgipsning. [1]
- Vid osäkerhet om det verkligen är en infraktionsfraktur: behandla som distal metafysär radiusfraktur. [1]
Dorsalbockad distal radius- och/eller ulnafyseolys (SH2)
Behandla icke-kirurgiskt om: [1]
- < 10 år för flickor, < 12 år för pojkar:
- ≤ 30° vinkelfelställning jämfört med anatomiskt läge
och
- ≤ 1/2 benbredds ad latus
- ≥ 10 år för flickor, ≥ 12 år för pojkar:
- ≤ 20° vinkelfelställning jämfört med anatomiskt läge
och
- ≤ 1/4 benbredds ad latus dorsalt
Icke-kirurgisk behandling:
- Semicirkulärt gips på underarmen (hög gipsskena hos små barn, det ramlar annars av), alltså bredare gips som ger trepunktstöd. Dorsalt vid dorsalbockning, volart med handleden dorsalextenderad vid volarbockning.
- Återbesök med röntgenkontroll efter 5-7 dagar [1], förutom vid odislocerad fraktur, då behövs inget återbesök.
- Vid försämrat läge men inom gränsvärde vid återbesöket: ny röntgenundersökning efter ytterligare 5 dagar. [1]
- Avgipsning i hemmet 3-4 veckor efter skadan. [1]
- Undvik risker 2 veckor efter avgipsning. [1]
Distal metafysär radiusfraktur
Behandla icke-kirurgiskt om:
- ≤ 10 år:
- ≤ 2 cm från fysen:
- ≤ 30° dorsalbockning eller ≤ 15° volarbockning jämfört med anatomiskt läge
och
- ≤ 1/2 benbredd ad latus
- > 2 cm från fysen:
- ≤ 20° dorsalbockning eller ≤ 10° volarbockning jämfört med anatomiskt läge
och
- ≤ 1/2 benbredd ad latus
- 11-14 år:
- ≤ 2 cm från fysen:
- ≤ 20° dorsalbockning eller < 10° volarbockning jämfört med anatomiskt läge
och
- ≤ 1/2 benbredd ad latus
- > 2 cm från fysen:
- ≤ 15° dorsalbockning eller ≤ 10° volarbockning jämfört med anatomiskt läge
och
- ≤ 1/2 benbredd ad latus
Icke-kirurgisk behandling:
- Semicirkulärt gips på underarmen, alltså bredare gips som ger trepunktstöd. Dorsalt vid dorsalbockning, volart vid volarbockning. Det räcker med vanlig, kort skena även om ulna också är frakturerad.
- Återbesök med röntgenkontroll efter 1 vecka. [1]
- Vid försämrat läge men inom gränsvärde vid återbesöket: ny röntgenundersökning efter ytterligare 5 dagar. [1]
- Avgipsning i hemmet 4 veckor efter skadan. [1]
- Undvik risker 4 veckor efter avgipsning. [1]
Annars:
- Förbered för reponering i narkos med beredskap för stiftning - ordinera smärtlindring, auskultera hjärta och lungor, pila, operationsanmäl.
- Vanligen dorsal gipsskena och inläggning på barnavdelning i väntan på operation som gärna görs som första operation dagen efter, så barnet slipper fasta onödigt länge.
Vid återbesök (barn)
- Kontrollera gipsproblem.
- Kontrollera distalstatus.
- Undersök röntgenbilden:
- Om frakturen rört på sig men fortfarande ligger inom gränsvärdena: beställ ny röntgenkontroll efter ytterligare 5 dagar. [1]
ICD-10 (barn)
- S52.5: Fraktur på nedre delen av radius
- S52.50: Fraktur på nedre delen av radius, sluten
- S52.51: Fraktur på nedre delen av radius, öppen
- S52.6: Fraktur på nedre delen av både ulna och radius
- S52.60: Fraktur på nedre delen av både ulna och radius, sluten
- S52.61: Fraktur på nedre delen av både ulna och radius, öppen
Referenser (barn)
- Barnfrakturer och luxationer i öppenvård Astrid Lindgrens Barnsjukhus, giltig från 2024-08-22 (besökt 2024-12-10)
Uppdaterad: 2026-01-07 19:03:51 av Lars Johanson