Skada: Luxation PIP-led
Klassificering
Handläggning
Kontrollera distalstatus. Utreds med slätröntgen.
- Lägg fingerbasblockad (kan ibland reponeras även utan bedövning)
- Reponera:
- Dorsal luxation: flektera leden och pressa leden till rätt läge [1]
- Dorsal luxation med bajonettställning (alltså helt avhoppad): hyperextendera och pressa sedan leden till rätt läge [1]
- Volar luxation: flektera 90° i MCP och PIP, tryck sedan volart i mellanfalang så leden pressas till rätt läge [1]
- Lateral luxation: dra i fingrets längsriktning och pressa från sidan så leden trycks till rätt läge
- Om det inte går att reponera slutet så finns troligen interponat. Förbered för snar operation med öppen reponering
- Kontrollera böj- och sträckförmåga samt stabilitet, och kontrollröntga
- Mindre avulsionsfraktur behandlas som ingen fraktur
- Vid fraktur > 1/3 av ledytan: reponera, gipsa och anmäl för snar temporär transfixation eller stiftfixation i 3 v. [3, 5, 6, 7]
- Vid extensorsenskada: immobilisera leden i extension, förbered för poliklinisk operation [2]
- Vid flexorsenskada: diskutera med bakjour, troligen remiss till handkirurg
- Vid dorsal eller lateral luxation och stabil i sidovackling: extensionsskena i 3 dagar, därefter rörelseträning med arbetsterapeut, risk för kvarstående stelhet
- Vid dorsal eller lateral luxation och instabil i sidovackling: gips i 2 veckor (3- eller 4-fingerskena), därefter återbesök med avgipsning och nytt test av sidostabilitet, sedan tvåfingertejpning i 1 vecka och arbetsterapi som kan påbörjas direkt [1, 3]
- Vid dorsal luxation med volart fragment, och som reluxerar efter reposition: kan bero på interponat av volara plattan, sätt 3- eller 4-fingerskena, diskutera med handkirurg, troligen operation.

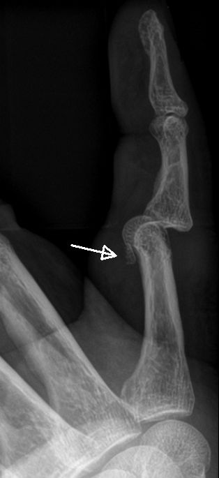
PIP-ledsluxation med volart fragment, reluxerade efter reposition, opererades sedan av handkirurg
- Vid volar luxation: undersök centrala bandet med Elsons test, diskutera sedan med handkirurg.
Typiskt vid negativt Elsons test: extensionsskena (t.ex. malletskena) över PIP-leden, troligen dygnet runt i ett par veckor men avtagning för rörelseträning 5-7 gånger/dygn, därefter nattetid totalt 2-3 månader.
Typiskt vid positivt Elsons test: extensionsskena (t.ex. malletskena) på PIP-leden, sedan troligen speciell extensionsskena under flera månader via arbetsterapeut. Ibland operation.

Volar luxation i PIP-led
- Informera om lokal svullnad och ömhet under upp till 1 års tid [6]
ICD-10
- S63.1: Luxation i finger eller tumme
- S63.2: Multipla luxationer i fingrar
Referenser
- Phalanx dislocations på orthobullets.com (besökt 2019-01-07)
- Skelett- och ledskador av läkarna vid ortopedkliniken i Karlstad, ISBN 9789188840066
- Ortopediskt traumakompendium under redaktion av G. Sandersjöö, ISBN 9789197865401
- Akut ortopedi av Lena Hultman och Johannes Järhult, ISBN 9789147094011
- Akut ortopedi av Jenny Önnerfält och Rolf Önnerfält, ISBN 9789144091020
- Ortopedi på akuten av Sven-Anders Sölveborn, ISBN 9789113028606
- Ortopedi i fickformat av Richard Blomfeldt, ISBN 9789163307195
Uppdaterad: 2022-01-15 23:06:42 av Lars Johanson