Skada barn: Fraktur tibia diafys (barn)
Definitioner (barn)
Toddler's fracture: nästan osynlig spricka (fissur) i tibiadiafys i ålder ca 9 månader - 3 år.

Toddler's fracture
På akutmottagning (barn)
Toddler's fracture (odislocerad tibiafissur):
- ≤ 1 års ålder:
- Mjukgips (gipsstrumpa, vadd, elastisk linda)
- Full belastning
- Förband av i hemmet efter 2 veckor
- Undvik risker 2 veckor efter avtagning av förband
- > 1 års ålder:
- Gipsstövel
- Full belastning
- Återbesök med avgipsning 2-3 veckor efter trauma
- Undvik risker 2 veckor efter avgipsning
Övriga frakturer - tillåten felställning: [1]
- Vinkelfelställning ≤ 10°
och
- Axial rotationsfelställning < 10°
och
- Förkortning ≤ 1 cm
och
- Ej bajonettfelställning
I så fall:
- Cirkulärt helbensgips. Om fraktur i distala tredjedelen så ev. gipsstövel. [1]
- Avlastning 6 veckor [1]
- Återbesök med röntgenkontroll 2 veckor efter trauma [1]
- Avgipsning 5-6 veckor efter trauma [1].
- Återbesök med röntgenkontroll efter 6 veckor:
- Om tillräcklig kallus och trikortikal läkning: avgipsning [1]
- Annars: fortsatt gipsbehanding [1], nytt återbesök med röntgenkontroll efter 2-3 veckor
- Undvik risker i 4-6 veckor efter avgipsning, ingen idrott i 3 månader [1]
- Informera förälder att barnet kommer att gå med foten utåtroterad en tid efter avgipsning
Vid ej acceptabel felställning:
- Rotationsfelställning kan vara möjlig att reponera i lustgas på AVC
- Diskutera i övriga fall med bakjour.
- Förbered för inläggning och snar operation, ofta för sluten reposition, ibland TEN-spik, stel märgspik, stiftning, platta eller ex-fix. [2]

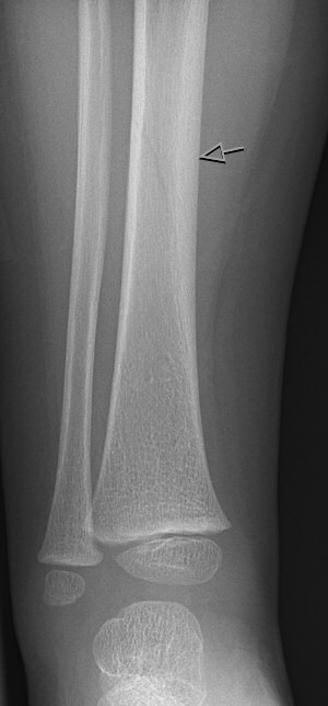
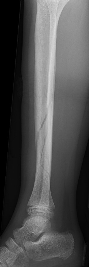
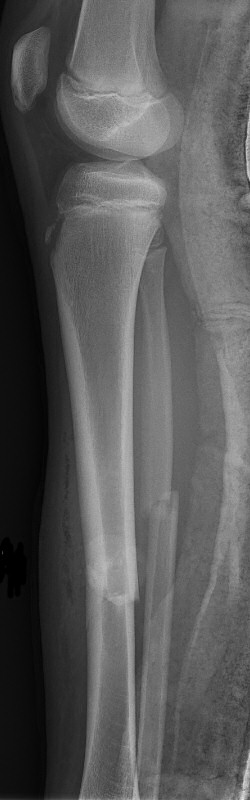
Tibiafraktur hos 7-åring, behandlades med gipsstövel
|
|

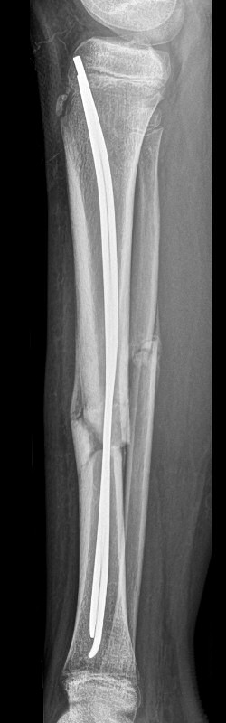
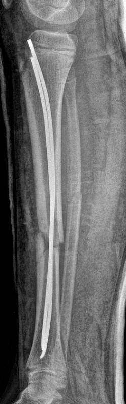
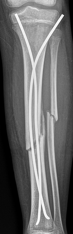
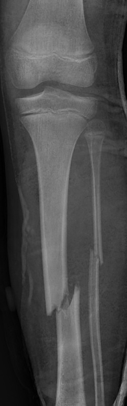
Tibia och fibula-frakturer, tibia spikats med 2 TEN-spik, sista 2 bilderna efter 5 veckor, då inte alls ömmande över frakturerna.
ICD-10 (barn)
- S82.2 Fraktur på tibiaskaftet
- S82.20 Fraktur på tibiaskaftet-sluten
- S82.21 Fraktur på tibiaskaftet-öppen
Referenser (barn)
- Barnfrakturer och luxationer i öppenvård Astrid Lindgrens Barnsjukhus, giltig från 2024-08-22 (besökt 2024-12-13)
- Tibial Shaft Fracture - Pediatric på orthobullets.com (besökt 2019-05-13)
Uppdaterad: 2024-12-13 18:27:52 av Lars Johanson