orto.nu

Skada: Kalkaxel

Synonymer

  • Peritendinitis calcarea
  • Calcific Tendonitis

Symtom

  • Snabbt insättande, svåra, brännande smärtor i axel [1]
  • Palpationsömhet ventralt om axeln [1]
  • Vanligast hos kvinnor 30-60 år [1, 2]
  • Nedsatt rörelseomfång, framför allt aktivt [2]
  • Kan ge CRP > 100, feber > 38° och frossa vilket försvårar diffdiagnostik mot septisk artrit
  • Kan i undantagsfall sätta sig i andra muskler, exempelvis vid höft - "kalkhöft"

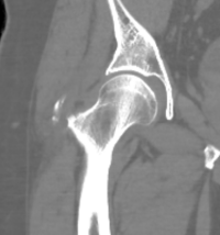
    55-åring med snabbt insättande mycket kraftig smärta i höger höft, spontant återställd efter ett par dagar

Diagnos

  • Typisk anamnes
    och
  • Röntgenbild med typisk förkalkning i supraspinatussenan
    och
  • Uteslutande av annan genes såsom septisk artrit i axelled. Vid osäker diagnos:
    • Försök punktera leden för cellräkning och odling
    • Man kan beställa ultraljud av axeln för att se utgjutning i leden och om möjligt ultraljudsledd punktion för cellräkning och odling


Två exempel på kalkaxlar, både med kraftig smärta och förhöjt CRP men återställda efter några dagar.

Behandling

  • Läker spontant inom några dagar upp till en vecka men med smärta
  • Smärtlindring med NSAID [2]
  • Fysioterapi med stretchning [2]
  • Man kan prova kortisoninjektion subakromiellt [2]
  • Ev. stötvågsbehandling [2]
  • Tänkbart med ultraljudsledd aspiration av kalk [2]

ICD-10

  • M75.3 Tendinit med förkalkning i skulderled

Referenser

  1. ABC om Axelsmärta, Läkartidningen nr 6 2013 (besökt 2019-05-27)
  2. Calcific Tendonitis på orthobullets.com (besökt 2019-12-16)

Uppdaterad: 2020-07-24 19:59:05 av Lars Johanson
Om webbsidan | Om copyright | Om cookies