Skada barn: Fraktur tibia avulsion tuberositas (barn)
På akuten (barn)
Tillåten felställning:
I så fall:
- Knäkappa (cirkulärt gips), får belasta med denna. [1]
- Avgipsning och uppstart av fysioterapi 4 veckor efter trauma. [1]
- Undvik risker i 3-4 veckor efter trauma. [1]
I annat fall:
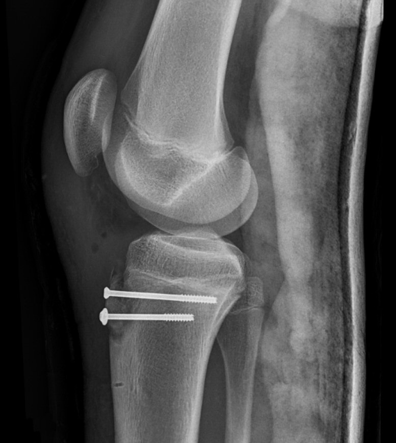
- Förbered för operation, troligen öppen operation med skruvfixation.

Avulsion av processus tibiae, fixerad med två skruvar.
ICD-10 (barn)
- S82.1 Fraktur på övre delen av tibia
- S82.10 Fraktur på övre delen av tibia-sluten
- S82.11 Fraktur på övre delen av tibia-öppen
Referenser (barn)
- Barnfrakturer och luxationer i öppenvård Astrid Lindgrens Barnsjukhus, giltig från 2024-08-22 (besökt 2024-12-13)
Uppdaterad: 2024-12-13 06:40:12 av Lars Johanson