Skada: Fraktur eminentia
Synonymer
Eminentiafraktur
Klassificering
Modified Meyers and McKeever Classification:
- Typ I: Odislocerad (<3mm)
- Typ II: Minimalt felställd med posterior kontakt
- Typ III: Felställd utan benkontakt
- Typ III+: Som typ III men även roterad
- Typ IV: Ingen benkontakt, komminut
På akuten
Utreds med slätröntgen knä, DT vid behov.
- Typ I:
- Dorsal gipsskena med 10-15° flexion (relaxerar främre korsbandet). Ev. låst knäortos istället.
- Röntgenkontroll efter gips.
- Återbesök efter 7-10 dagar med byte till knäkappa och röntgenkontroll.
- Stegmarkering i 6 veckor.
- Typ II: Opereras inom 10 dagar, ev. sluten reposition, annars artroskopi eller öppen operation
- Typ III, IV: Ev. artroskopi, annars öppen reposition snarast


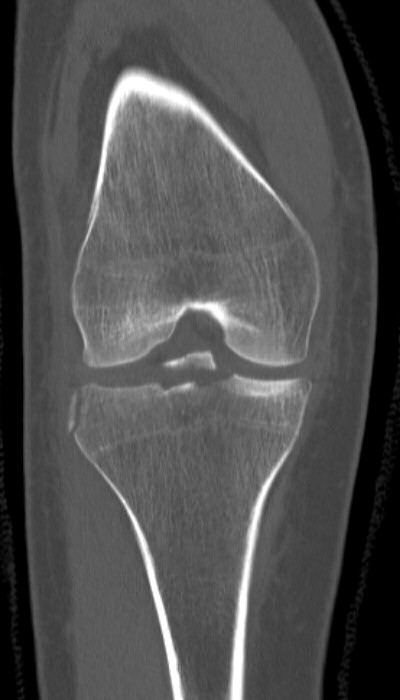
Första bilden eminentiafraktur typ III (och segondfraktur), andra bilden efter operation med sutur.
ICD-10
- S82.1: Fraktur på övre delen av tibia
- S82.10: Fraktur på övre delen av tibia, sluten
Referenser
- Tibial Eminenenca Fracture på Orthobullets (besökt 2018-04-16)
- Akut ortopedi av Lena Hultman och Johannes Järhult, ISBN 9789147094011
- Skelett- och ledskador av läkarna vid ortopedkliniken i Karlstad, ISBN 9789188840066
Uppdaterad: 2022-02-19 21:33:59 av Lars Johanson