Skada: Fraktur sesamben MTP1
Symtom
- Smärta under MTP1 [1, 2, 3]
- Ökad smärta vid dorsalextension av dig 1, även passiv [1, 2, 3]
- Kavusställd fot för att undvika smärtande belastning [1]
Diagnos
- Slätröntgen, frontal- och sidobild.
Kan vara svår att skilja från normalvariant med bipartit sesamben, frakturlinje är ofta rakare än vid än bipartit sesamben och vassare kanter vid fraktur.

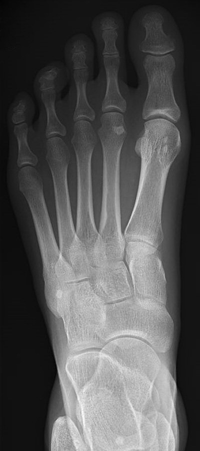
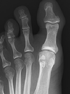
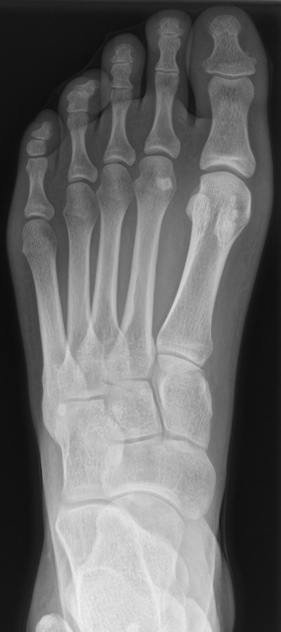
Fraktur på mediala sesambenet, första två bilderna efter en månad, tredje bilden efter 5 månader
Diffdiagnoser
- Bipartit sesamben (se under Diagnos ovan).

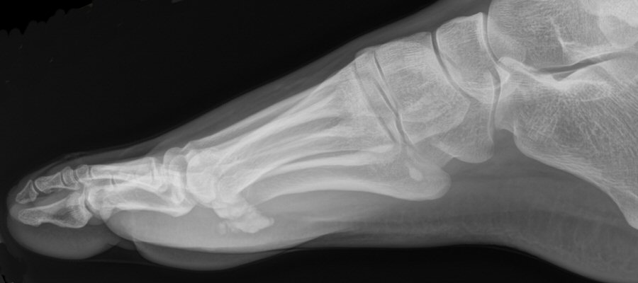
Exempel på bipartit lateralt sesamben
Orsaker
- Direkttrauma [1, 2, 3]
- Hyperextension av MTP1 [1, 2]
- Stressfraktur [2, 3]
Handläggning
Ingen konsensus. Olika förslag:
- Gipsstövel med stöd under hela stortån [1, 2, 3] i 4 veckor och därefter sko med stabil sula [3]
- Walker-ortos [2]
- Stabil sko [2]
- COX-hämmare, minskad belastning, avlastning [1]
- C- eller O-formad avlastande pelott [2]
Sesambensfrakturer kan vara smärtande flera månader [2].
Operationsindikation
Stora besvär minst 3 [1] eller 6 [2] månader efter skadan.
Operationsmetod
Excision av hela eller delar av sesambenet. Vid skada på mediala sesambenet så medial ingång [1, 2, 3], men risk att skada gren av n. plantaris medialis [1]. Vid skada på laterala sesambenet (ovanligt) så plantar ingång [1, 2, 3] men risk att skada annan gren av n. plantaris medialis [1].
ICD-10
- S92.4: Fraktur på stortå
- S92.40: Fraktur på stortå - sluten
- S92.41: Fraktur på stortå - öppen
Referenser
- Sesamoid Injuries of the Hallux på orthobullets.com (besökt 2023-03-23)
- Sesamoid fractures of the foot på uptodate.com (besökt 2023-03-23)
- Ortopediskt traumakompendium under redaktion av G. Sandersjöö, ISBN 9789197865401
Uppdaterad: 2023-08-03 20:05:35 av Lars Johansson