Hammartå: tå kontinuerligt flekterad i PIP-led

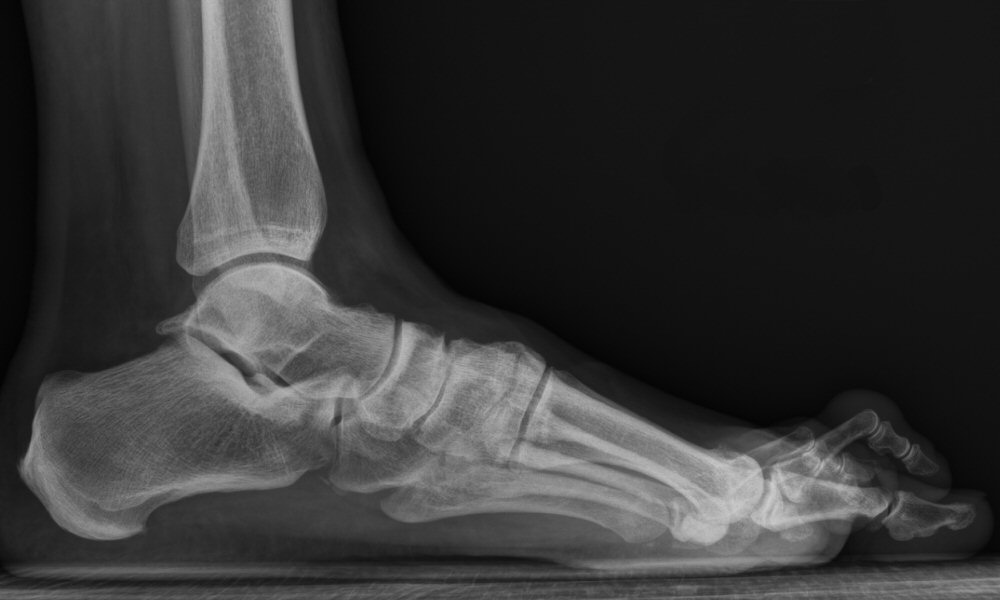
Röntgenbild resp. foto, hammartå dig 2
Klubbtå: tå kontinuerligt flekterad i DIP-led
Klotå eller mallettå: tå kontinuerligt flekterad i PIP- och DIP-led
Klavus: förhårdnad t.ex. dorsalt på PIP-led vid hammartå, kommer av kontinuerligt skav mot sko
Vårdcentral ansvarar för:
Kontrollera att man provat icke-kirurgisk behandling och att det finns aktuella belastade röntgenbilder av foten (röntgen i stående).
Om samtidig hallux valgus så bör den åtgärdas samtidigt. [1]
Vid hammartå/klotå och kavusfot: kan bero på neurologisk åkomma, t.ex. Charcot-Marie-Tooth, Friedreich ataxi, CP, MS, diabetesneuropati. Utred gärna detta.
Undersök om för kort hälsena, det ger ökat tryck på tårna.
Smärta, svårighet att hitta passande skor. [1]
Patienten önskar ej operation.
Tryck-upp-test: tryck med tumme under MTP-led. Om tån då reponeras är testet negativt.
| Hammartå |
Behandlingsalgoritm: [1]
Dig 3-4: partiell falangresektion (Gocht) kan i många fall vara tillräcklig. [2] |
| Flexibel klotå | Tenotomi av långa böjsenan, gör litet snitt i böjvecket under DIP-leden. [2] |
| Stel, extenderad MTP-led (ej reumatisk) | Sträcksenförlängning och genomskärning av extensoraponeurosen på båda sidor samt adekvat lösning av kapseladherenser plantart om caput. Om grundfalangen efter detta inte spontant faller på plats kan flexorsentransfer ge flexionskraft till MTP-leden. En förkortningsosteotomi på metatarsalen (Weil-osteotomi) kan också hjälpa till. [2] |
| Luxerad, stel och flekterad MTP-led (reumatisk) | Stainsbyplastik, alltid alla MTP 2-5. Vinklat dorsalt snitt med spetsen riktad mot stortån. Skala ut och ta av så mycket av grundfalangen som behövs för att få en avslappnad ställning i tån. Om kraftig kontraktur i PIP-leden delas grundfalangen subkapitulärt. Sträcksenorna sys ner till böjsenorna och tån transfixeras med stift i 4-6 veckor. [2] |
Vid stiftfixation: mobilisering i postoperativ sko med styv sula, om stiftet passerar MTP-leden så försiktighet p.g.a. risk för stiftbrott. Stift tas ut efter 4–6 veckor, därefter fri belastning i stabila, rymliga skor. Patienten bör informeras om att tån blir stel och får minskad extensionskraft efter operationen. [1]