Skada: Charcotfot - akut
Symtom
- Diabetiker med nytillkommen svullen, röd, värmeökad och smärtande fot. Svullnad är vanligast.
Måste inte ha diabetes men någon typ av neuropati eller cellgiftsbehandling.
- Kan ha föregåtts av mindre trauma upp till några veckor tillbaka i tiden
- Foten bleknar när man lyfter upp den. Om den inte bleknar så tyder det mer på infektion.
På vårdcentral
Vid misstanke: telefonkontakt med ortopedjour och därefter troligen akut slätröntgen av foten med frågeställning "Charcotförändringar", och därefter remiss till ortopedakuten [3].
På akuten
Utredning:
- Uteslut vid behov differentialdiagnoser:
- Erysipelas (klinik, CRP, temp)
- Djup abscess (CRP, ev. ultraljud/CT med kontrast/MR)
- Artrit
- Beställ slätröntgen av foten, fråga efter Charcotförändringar (subluxationer och/eller frakturer i en eller flera leder i foten). Det kan vara Charcotfot även vid normal röntgenbild.
- Beställ labprover: SR, CRP, LPK, Kreatinin och HbA1c.
Ett HbA1c > 9% (83 mmol/mol) fördubblar risken för Charcotfot jämfört med ett HbA1c < 7 % (62 mmol/mol). CRP kan ligga runt 20 vid akut Charcotfot, tresiffrigt CRP antyder infektion.
- Neurologisk undersökning: avsaknad av Akilles-reflex är ett tidigt tecken på neuropati.
- Sensibiliteten undersöks med monofilament om det finns, och vibrationssinnet med stämgaffel på toppen av stortån. Båda är i regel tydligt nedsatta eller helt upphävda.
Åtgärd:
- Tätt sittande gipsstövel och kryckor för avlastning. Det primära är själva avlastningen, gipsen ökar compliance och sjukdomsinsikt hos patient och anhöriga. Det räcker med att man misstänker Charcotfot, diagnosen är inte 100 %-ig vid avsaknad av röntgenologiska fynd.
- Boka återbesök till gipstekniker på mottagningen efter 3-5 dagar för omgipsning.
- SU: Gipstekniker kontaktar diabetessårsköterska som i sin tur kontaktar ansvarig läkare på Fotteamet.
- SÄS: Skriv remiss till diabetesfotmottagningen för vidare handläggning och till diabetesmottagningen för information.
- Informera om lång behandlingstid, mellan 6 och 18 månader i gips. Behandlingen avslutas när temperaturskillnaden mellan fötterna är < 2 grader.

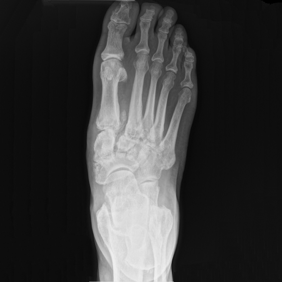
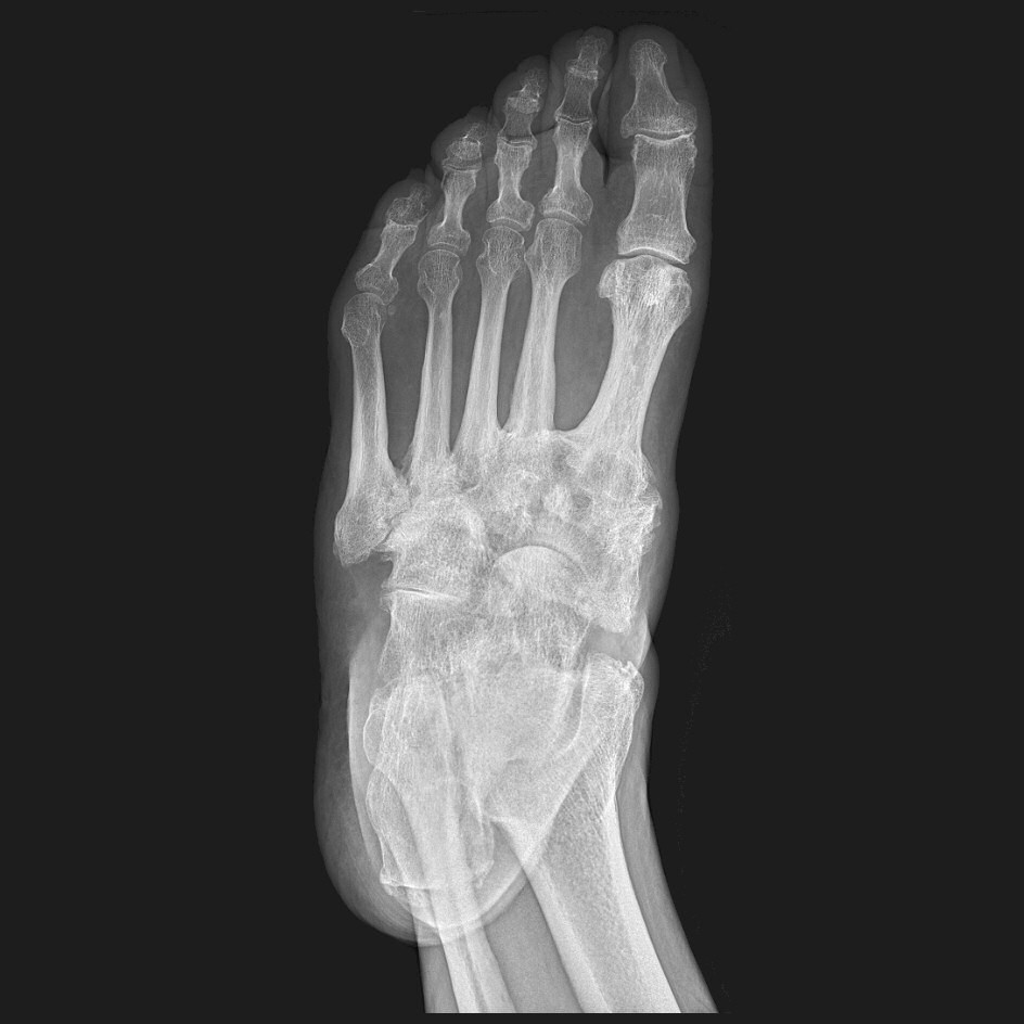
Obehandlad charcotfot, patienten noterade formförändring i fot ca 1 månad innan undersökning

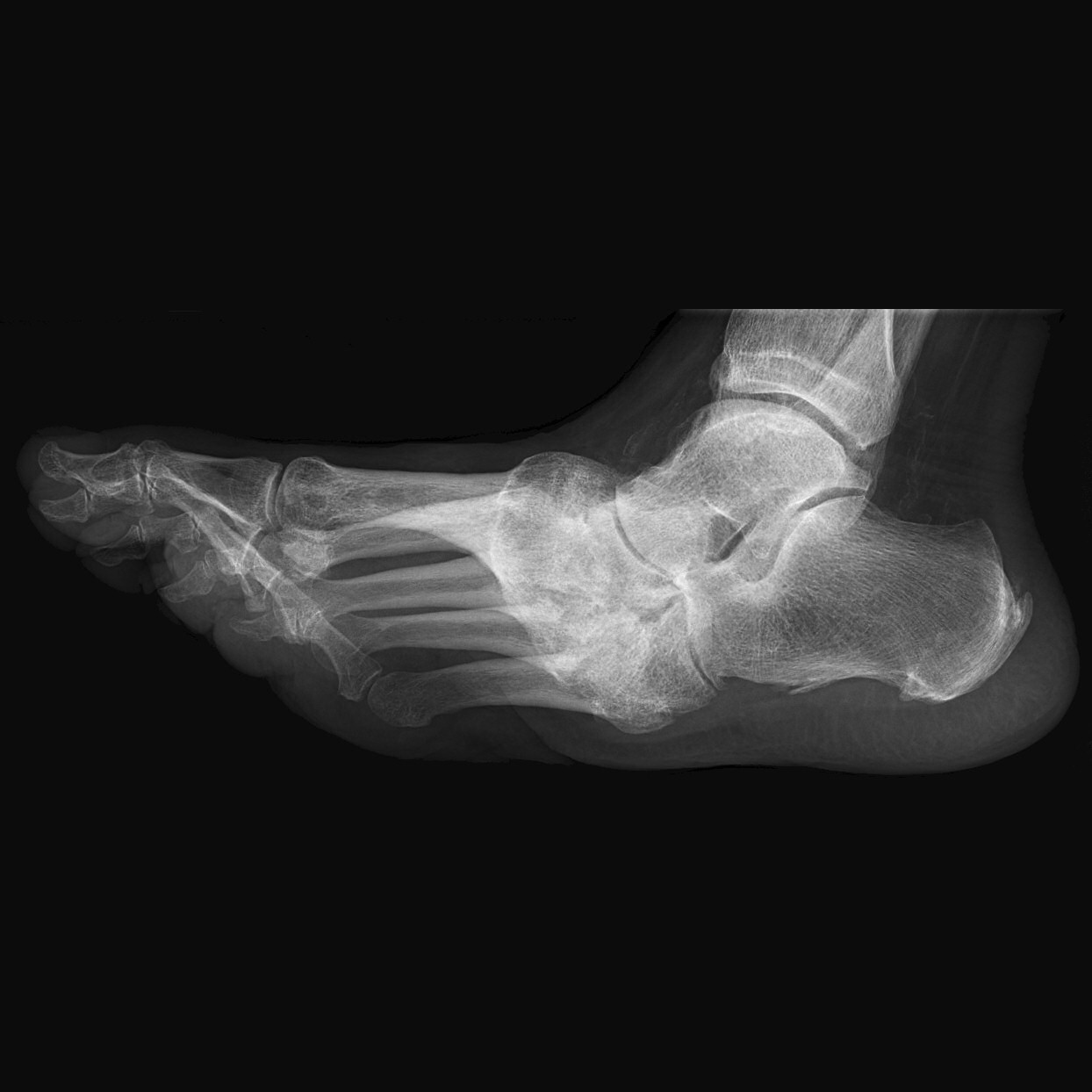
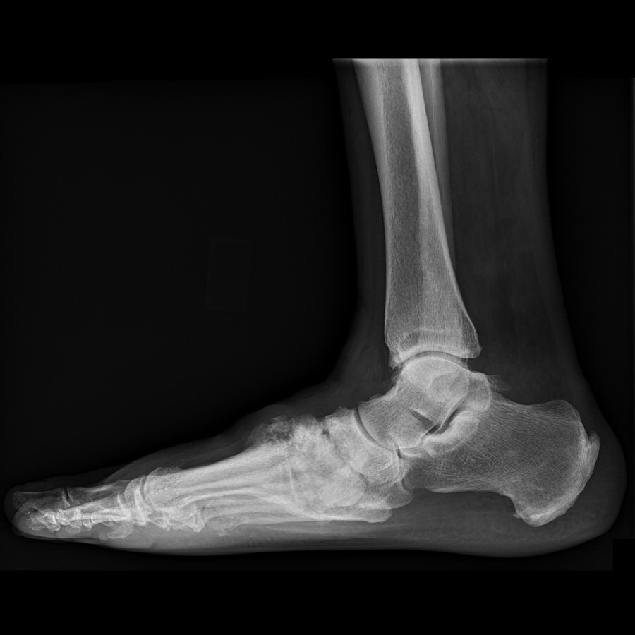
Gammal, läkt charcotfot
ICD-10
- E10.6D: Diabetes mellitus typ 1 med (diabetiskt) fotsår
- E11.6D: Diabetes mellitus typ 2 med (diabetiskt) fotsår
- M90.8H: Diabetesosteopati i fotled/fot
Referenser
- Charcotfot - Akut omhändertagande, SU (giltig från 2016-11-07, ej längre tillgänglig)
- Fot - Charcot - FYS, SU (giltig från 2016-07-04)
- Ansvarsfördelning mellan primärvård och ortopedisk specialistvård, VGR (besökt 2024-10-10)
Uppdaterad: 2024-10-10 21:17:11 av Lars Johanson