Operation: Mallning höftprotes
Man ska malla innan man opererar höftprotes, både vid elektiv och akut operation, både cementerad och ocementerad och hel- och halvprotes. Målet med operation och mallning är att återställa anatomi, med rätt rotationscentrum, rätt offset och rätt benlängd vilket kan innebära förlängning om det aktuella benet var förkortat.
Vid fraktur eller deformerad höft så malla på kontralateral sida, alternativt hitta en tidigare röntgenbild där den aktuella höften är opåverkad.
Utförande
- För att kunna malla så måste rätt programvara vara installerad på datorn. I Sectra hittar man mallningsverktygen genom att högerklicka på röntgenbild och välja "Ortho MSK" (se bild). En verktygspalett dyker då upp.

- Kalibrera så måtten stämmer. Välj "Kalibrera" och "Automatisk mot Kalibrering 25 mm (25 mm)" eller motsvarande. Om det inte finns någon kalibreringskula eller om denna inte hittas automatiskt så kalibrera manuellt mot kalibreringskula eller annat objekt med känd storlek.
- Värdera om benet är rätt (ska vara 15° inåt) och sidlikt roterade. Trokanter minor bör vara symmetriska på vänster och höger sida. Vid fraktur så brukar det frakturerade benet vara utåtroterat.
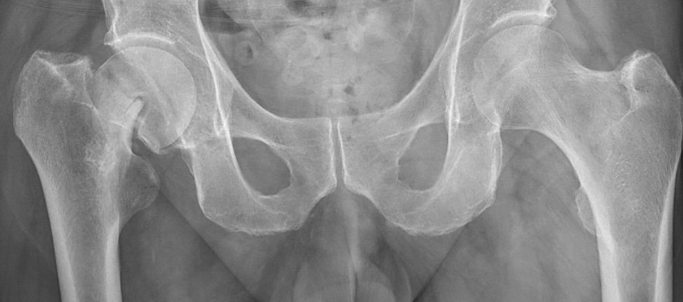
- Värdera om röntgenbilden är tagen rakt framifrån. I så fall bör coccyx och symfysen ligga över varandra och foramina obturatoria bör vara symmetriska.

Första bilden är nästan rak frontal med överlappande coccyx och symfys samt symmetriska foramina obturatoria. Andra bilden är inte rak.
- Mät offset på frisk sida alt. gammal bild. Välj "Offfset" i "Ortho MSK", lägg linje i centrum av femur och kula med centrum i kaputs rotationscentrum. För att få korrekt värde så ska benet vara inåtroterat 15° på röntgenbilden.

- Skapa horisontell referenslinje och uppskatta benlängdsskillnad. Vid fraktur skapas endast referenslinje:
- Lägg horisontell referenslinje mellan nederkant på teardrops, tuber ischiadicum eller neder- eller överkant foramen obturatoria.

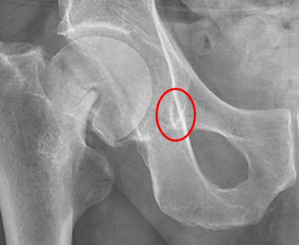
Teardrop är konturen av nedre kanten på mediala väggen i acetabulum, markerat på bilden ovan. Dessa visualiseras inte alltid lika tydligt som i detta exempel.

Referenslinje lagd med teardrops nedre kanter som referenspunkter
- Mät benlängdsskillnad som avstånd mellan trokanter majors övre spets alt. trokanter minors mitt, övre eller nedre begränsning och referenslinjen. Jämför höger och vänster sida.
- Notera att benlängdsuppskattningen påverkas av om bäckenet är tippat åt något håll, eller om endera femur står add- eller abducerat. Lägg därför referenslinjen även vid de andra referenspunkterna och försök analysera hur bäckentippning och/eller femurposition påverkar uppmätt benlängd.
- Lägg den horisontella referenslinjen mitt i rotationscentrum på den friska sidan. Det underlättar om man har kvar offset-mätningens kula där centrum är markerad.
- Bestäm var rotationscentrum på den aktuella sidan ska ligga, baserat på referenslinjen och med hänsyn till ev. benlängdsjustering.
- Lägg till kupp:
- Välj "Mallväljare", och t.ex. "Exeter X3 RimFit Cup Cemented"
- Välj storlek på kupp genom att snurra på mus-hjulet
- Placera kuppen på rätt plats:
- Man önskar sklerotisk kant som ger stöd kranialt/lateralt (samt anteriort och posteriort, d v s intakt acetabulumkant inkl främre och bakre pelare) samt en intakt medial vägg
- Man vill reama kraniomedialt till subkondralt ben
- Sätt rätt rotationscentrum, kan sättas några mm för högt om man kompenserar med femurkomponenten

- Lägg till stam:
- Välj "Mallväljare", "Exeter V40"
- Vid behov kan man spegelvända stammen genom att högerklicka på mallen och välja "Vänd mall vänster/höger"
- Placera stammen, se till att det finns plats för 2 mm cementmantel (första strecket på "antennerna")
- Välj storlek på stammen genom att snurra på mus-hjulet
- Man vill ha rotationscentrum ungefär rätt, oftast så att markeringen på stammen och kuppens mitt ligger över varandra, kompensera för ev. önskad benlängdsskillnad

Kupp och stam positionerade på referenslinjen vilket ger oförändrad benlängd
- Kontrollera så offset blir rätt, notera att vid olika rotation av vänster och höger ben så går det inte att få korrekta värden.
- Man kan dra en tänkt osteotomilinje från medialt ca en cm proximalt om trokanter minor och lateralt till basen av kollum. Det är dock svårt att göra osteotomin exakt enligt planen så man bör inte använda den som referens för hur djupt stammen ska placeras.

- Man kan mäta från stammens skuldra till toppen av trokanter major. Under operationen kan man sedan mäta i såret för att se att stammen hamnat rätt, stammens skuldra ca 18 mm distalt om spetsen på trokanter major i exemplet nedan.


Kupp, stam, offsetmätning, osteotomilinje och mätning av stammens placering i djupled
Uppdaterad: 2024-08-27 21:46:41 av Lars Johanson