Skada: Fraktur tå
Handläggning
Behöver sällan opereras.
- Dislocerad, intraartikulär fraktur i stortåns grundfalang:
- Sätt gips på akutmottagningen
- Förbered för poliklinisk operation med stift [1, 2] eller skruv [2]
- Avlösning av MCL stortå:
- Mer än 2 mm diastas: förbered för operation med stiftfixation
- Mindre än 2 mm diastas: hallux valgus-förband och hallux valgus-sko för att undvika just hallux valgus-felställning

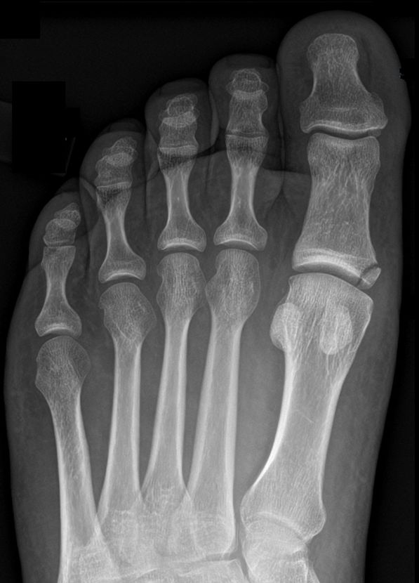
Exempel på MCL-avlösning, behandlades med hallux valgus-förband
- Annars (vanligast):
- Sko med hård sula, ev. tvåtåtejpning [1, 2]. Belastning till smärtgräns. Behöver oftast inte kryckor.
ICD-10
- S92.4: Fraktur på stortå
- S92.40: Fraktur på stortå, sluten
- S92.41: Fraktur på stortå, öppen
- S92.5: Fraktur på annan tå
- S92.50: Fraktur på annan tå, sluten
- S92.51: Fraktur på annan tå, öppen
Referenser
- Fotkirurgi av Fredrik Montgomery och Jan Lidström, ISBN 47-05204-X
- Framfotsfraktur, hos vuxna på internetmedicin (besökt 2018-12-03)
Uppdaterad: 2025-09-17 16:21:44 av Lars Johanson