Skada: Artros i fotled
Orsaker
- Posttraumatiskt > 67 % [2]
- Primär artros < 10 % [2]
Symtom
- Smärta i fotled vid belastning, ibland även i vila
- Minskat rörelseomfång [2]
- Svullen fotled
- Stelhet, framför allt på morgonen eller efter vila [3]
Diagnos
- Symtom enligt ovan i kombination med typiska röntgenfynd enligt nedan.
Klassificering
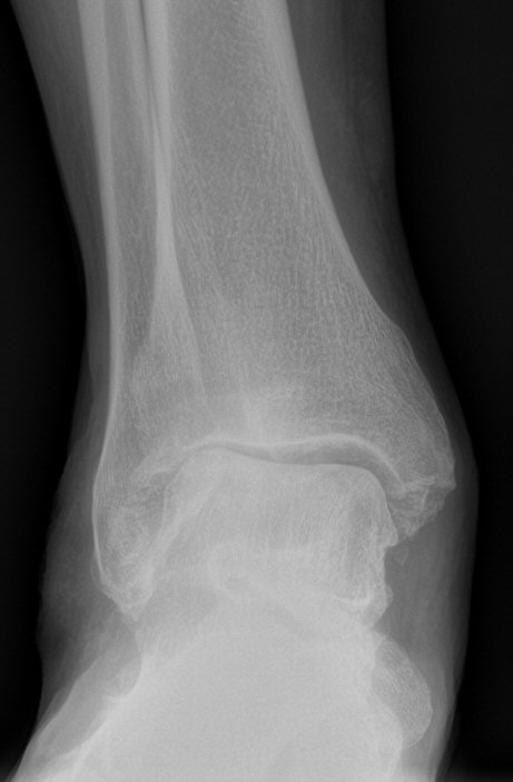
Takakura: [2]
- Stadie I: Osteofyter men bevarad ledspringa
- Stadie II: Minskad ledspringa men ej benkontakt
- Stadie IIIA: Benkontakt vid mediala malleolen
- Stadie IIIB: Benkontakt talus-troklea mot tibia
- Stadie IV: Komplett benkontakt
På vårdcentral
- Byte till bra skor med god dämpning, gärna rullsula [3], ev. fotledsortos via ortopedteknisk mottagning
- Sjukgymnastik [1], rörelse är bra men undvik alltför hög belastning
- Smärtlindring med COX-hämmare och/eller paracetamol [1]
- Man kan diskutera byte av arbetsuppgifter om de nuvarande kräver mycket gående på hårt underlag
- Vid kvarstående besvär: remiss till OTA för skoinlägg och/eller sko med dämpning och/eller ortos [1, 3]
- Vid oklar diagnos eller inför remiss till ortopedklinik: Belastad slätröntgen av fot [1] och fotled [1, 2]
- Vid kvarstående besvär trots icke-kirurgisk behandling, och patienten är positivt inställd till kirurgi: remiss till ortopedmottagning. [1]
På ortopedklinik
Remissbedömning
- Kontrollera att det finns aktuell belastad röntgenundersökning.
- Kontrollera att man provat icke-kirurgisk behandling
- Prova gärna fotledsbygel minst 6 månader
Utredning
- Belastad slätröntgen, inför beslut om protes eller tibiaosteotomi så belastad slätröntgen med "long axial view".
Operationsindikation
Stora besvär, t.ex. smärta i vila trots icke-kirurgisk behandling.
Operationsmetod
- Artrodes, framför allt hos äldre, mindre aktiv patient. [2]
- Ibland vinkelkorrigerande tibiaosteotomi, fr.a. vid asymmetrisk artros hos yngre patient.

Lateral artros, kan vara aktuell för vinkelkorrigerande tibiaosteotomi
- Ibland protes, fr.a. hos äldre med posttraumatisk eller inflammatorisk artros [2]. Fotledsproteser har än så länge begränsad livslängd så man får räkna med reoperation om 10-15 år.
- Ibland (ovanligt) distraktion med Ilizarov-ram, fr.a. hos ung patient. Utförs troligen endast i Mölndal.
ICD-10
- M19.0H: Primär artros i fotled/fot
- M19.1H: Posttraumatisk artros i fotled/fot
- M19.2H: Annan sekundär artros i fotled/fot
- M84.1H: Utebliven läkning/pseudartros i fotled/fot
- M96.0H: Pseudartros efter artrodes i fotled/fot
Referenser
- Ansvarsfördelning mellan primärvård och ortopedisk specialistvård, VGR (besökt 2024-09-21)
- Ankle Arthritis på Orthobullets.com (besökt 2018-08-11)
- Fotledsartros på Nationellt kliniskt kunskapsstöd (besökt 2024-09-21)
Uppdaterad: 2025-03-24 17:28:08 av Lars Johanson