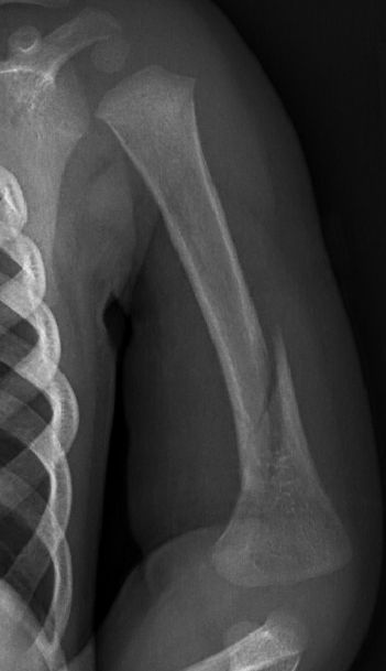
Skada barn: Fraktur humerusdiafys (barn)
Kontrollera distalstatus noga, n. radialis är särskilt utsatt då den ligger tätt mot distala humerus.
Var frikostig med att röntga även axel och armbåge, det är vanligt med associerade skador.
- Vid kärl- eller nervskada:
- Diskutera med bakjour, även nattetid.
- Förbered troligen för akut operation med reponering och ev. fixation.
- Icke-kirurgisk behandling:
- Om alla av:
- Sluten fraktur [1]
och
- Inte kärlpåverkan [1]
och
- Inte samtidig fraktur i underarm (floating elbow = frakturer i både humerus och underarm) [1]
och
- ≤ 20° vinkelfelställning (större felställning accepteras hos barn ≤ 9 år) [1]
och
- ≤ 1,5 cm förkortning [1, 2]
och
- Kontakt mellan fragmenten [1]
- Collar'n'cuff i 2-3 veckor [1, 2] alternativt container-överarmsgips/ledad armbågsortos i 4-6 veckor [1]
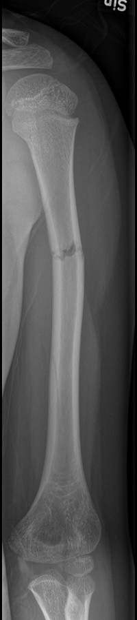
Fraktur humerusdiafys
- Återbesök 1 vecka efter trauma med röntgenkontroll [1]
- Start av mobilisering inom 2 veckor, så snart smärtan tillåter [1]
- Nytt återbesök 4 veckor efter trauma med klinisk kontroll [1]
- Undvik risker i 2-3 månader [1]
------
- För små barn kan man istället linda armen med vadd och därefter bred elastisk linda runt hela kroppen för att immobilisera armen.
- Röntgenkontroll efter lindning och efter ca 5 dagar
- Återbesök ca 3 veckor efter trauma med avlindning och klinisk kontroll. Vid klinisk läkning (ingen uppenbar smärta och barnet använder armen) så fri mobilisering, i annat fall fortsatt immobilisering med nytt återbesök efter ytterligare någon vecka.
- Ovanlig fraktur innan barnet lärt sig gå, tänk på möjlig barnmisshandel.

1-årigt barn med diafysär humerusfraktur, fick vadd runt armen och linda runt kroppen i 3 veckor, därefter kliniskt läkt.
ICD-10 (barn)
- S42.3 Fraktur på humerusskaftet
- S42.30 Fraktur på humerusskaftet, sluten
- S42.31 Fraktur på humerusskaftet, öppen
- S42.7 Multipla frakturer på nyckelben, skulderblad och humerus
- S42.70 Multipla frakturer på nyckelben, skulderblad och humerus, sluten
- S42.71 Multipla frakturer på nyckelben, skulderblad och humerus, öppen
Länkar (barn)
- Barnfrakturer och luxationer i öppenvård Astrid Lindgrens Barnsjukhus, giltig från 2024-08-22 (besökt 2024-12-10)
- Humerusfrakturer från Barnfrakturboken (besökt 2021-07-04)
Uppdaterad: 2024-12-10 18:01:51 av Lars Johanson