Skada barn: Fraktur diafys underarm (barn)
OBS! Beställ alltid röntgen av både underarm och armbåge vid misstanke om underarmsfraktur!
Klassificering (barn)
Böjfraktur = pilbågsfraktur: plastisk deformering av diafys, kan vara en eller båda av radius och ulna, kan också vara i kombination med komplett fraktur av det andra benet. Kan förekomma hos barn upp till 10-årsåldern. [4]
Galeazzifraktur: fraktur på distala tredjedelen av radius och samtidig luxation av ulnahuvudet (vid DRU-leden).
Monteggiafraktur: fraktur på ulna och samtidig luxation av caput radii. Man är inte helt överens om ulnafrakturen ska vara i den proximala tredjedelen [2] eller proximala två tredjedelarna av ulna [3]. Radiushuvudet kan också vara frakturerat istället för luxerat [2].

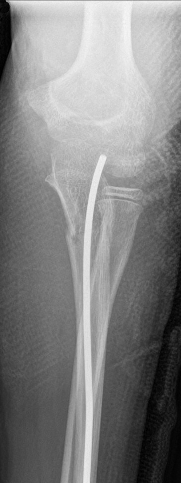
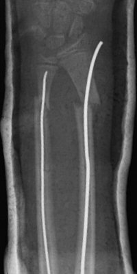
Monteggiafraktur, opererad med TEN-spik
Böjfraktur = pilbågsfraktur (barn)
Det är svårt att häva deformeringen.
- Om patienten kan pronera och supinera fullt så måste man inte reponera
- I lustgas eller på operation kan man försöka räta ut böjningen under 5-10 minuter. Oavsett resultatet kan man acceptera situationen och behandla med gips [4] under 4-6 veckor.
Isolerad diafysär ulnafraktur (barn)
Vid påverkat distalstatus, nerv- eller kärlskada
- Vid upphörd blodcirkulation: akut kontakt med kärlkirurg.
- Förbered för helt akut operation med reponering och vid behov stiftning alt. TEN-spikning.
- Om ej återställd cirkulation trots reponering: akut kontakt med kärlkirurg igen.
Kirurgisk behandling
Vid något av: [1]
- Monteggiafraktur (ulnafraktur + luxation av caput radii)
eller
- Felställning > 10°
eller
- Ingen kontakt mellan frakturändar
eller
- Förkortning
Handläggning:
- Förbered för snar operation med sluten reponering och vid behov stiftning alt. TEN-spikning.
- Vid jourtid typiskt inläggning och operation tidigt följande morgon.
Icke-kirurgisk behandling
Om inget av ovanstående: [1]
- Sätt dorsal gipsskena
- Avgipsning i hemmet 4 veckor efter trauma
- Undvik risker i 4 veckor efter avgipsning
Isolerad diafysär radiusfraktur (barn)
Vid påverkat distalstatus, nerv- eller kärlskada
- Vid upphörd blodcirkulation: akut kontakt med kärlkirurg.
- Förbered för helt akut operation med reponering och vid behov stiftning alt. TEN-spikning.
- Om ej återställd cirkulation trots reponering: akut kontakt med kärlkirurg igen.
Kirurgisk behandling
Vid något av: [1]
- Galeazzifraktur (radiusfraktur + luxation av caput ulnae i handled)
- Felställning > 10°
- Ingen kontakt mellan frakturändar
- Förkortning
Handläggning:
- Förbered för snar operation med sluten reponering och vid behov stiftning alt. TEN-spikning.
- Vid jourtid typiskt inläggning och operation tidigt följande morgon.
Icke-kirurgisk behandling
Om inget av ovanstående:
- Sätt hög gipsskena med armbåge i 90° vinkel [1], ordentlig bredd på gipset på underarmen.
- Om reponerad: återbesök med röntgenkontroll i gips 1-2 veckor efter trauma. [1]
- Vid försämrat läge vid återbesöket:
- Om fortfarande inom gränsvärdena ovan: nytt återbesök med röntgenkontroll efter ytterligare en vecka.
- Annars: förbered för snar operation.
- Avgipsning i hemmet 4 veckor efter trauma [1]. Ett alternativ kan vara 4 veckor med hög gipsskena och sedan 2 veckor med låg gipsskena.
- Undvik risker i 4 veckor efter avgipsning. [1]
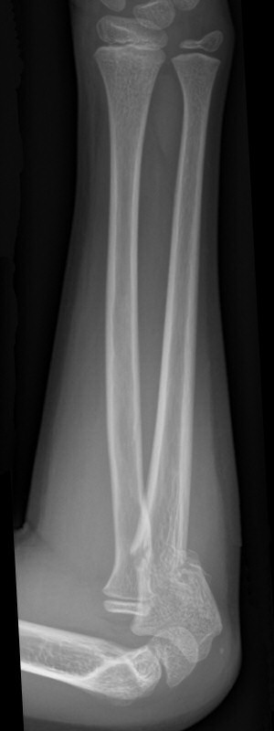
Kombinerad diafysär radius- och ulnafraktur (barn)
Vid påverkat distalstatus, nerv- eller kärlskada
- Vid upphörd blodcirkulation: akut kontakt med kärlkirurg.
- Förbered för helt akut operation med reponering och vid behov stiftning alt. TEN-spikning.
- Om ej återställd cirkulation trots reponering: akut kontakt med kärlkirurg igen.
Kirurgisk behandling
Vid något av: [1]
- Ingen kontakt mellan frakturändar
eller
- Förkortning
eller
- Fraktur i proximala diafysen med felställning > 10°
eller
- Fraktur i mellersta eller distala diafysen och:
- Ålder ≤ 10 år och felställning > 15°
eller
- Ålder ≥ 10 år och felställning > 10°
Handläggning:
- Förbered för snar operation med sluten reponering och vid behov stiftning alt. TEN-spikning av både radius och ulna.
- Vid jourtid typiskt inläggning och operation tidigt följande morgon.

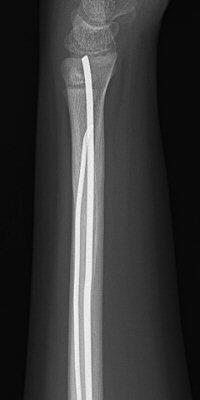
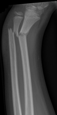
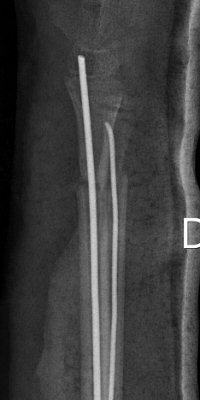
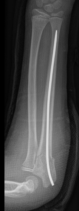
Distala diafysära radius- och ulnafrakturer, opererade med TEN-spikar, sista bilderna läkt efter 7 månader. Alla bilderna är från samma patient.
Icke-kirurgisk behandling
Om inget av ovanstående:
- Sätt hög gipsskena med armbåge i 90° vinkel [1], ordentlig bredd på gipset på underarmen.
- Återbesök med röntgenkontroll i gips 1-2 veckor efter trauma. [1]
- Vid försämrat läge vid återbesöket:
- Om fortfarande inom gränsvärdena ovan: nytt återbesök med röntgenkontroll efter ytterligare en vecka. [1]
- Annars: förbered för snar operation.
- Återbesök med avgipsning 4-6 veckor efter trauma, den kortare tiden för barn < 7 år. Ev. därefter dagskena i ytterligare 2 veckor [1]. Ett alternativ kan vara 4 veckor med hög gipsskena och sedan 2 veckor med låg gipsskena.
- Undvik risker i 4 veckor efter avgipsning. [1]
ICD-10 (barn)
- S52.2: Fraktur på ulnaskaftet
- S52.20: Fraktur på ulnaskaftet-sluten
- S52.21: Fraktur på ulnaskaftet-öppen
- S52.3: Fraktur på radiusskaftet
- S52.30: Fraktur på radiusskaftet-sluten
- S52.31: Fraktur på radiusskaftet-öppen
- S52.4: Fraktur på skaften av både ulna och radius
- S52.40: Fraktur på skaften av både ulna och radius-sluten
- S52.41: Fraktur på skaften av både ulna och radius-öppen
Referenser (barn)
- Barnfrakturer och luxationer i öppenvård Astrid Lindgrens Barnsjukhus, giltig från 2024-08-22 (besökt 2024-12-10)
- Radial Head Fractures Treatment & Management på Medscape (besökt 2019-05-02)
- Monteggia Fractures på orthobullets.com (besökt 2019-05-02)
- Barnfrakturboken utgiven av Georg Hirsch, Barnortopeden, Astrid Lindgrens Barnsjukhus, Karolinska sjukhuset 2001 (besökt 2024-12-23)
Uppdaterad: 2024-12-23 23:09:04 av Lars Johanson