Skada: TFCC-skada
Definitioner
TFCC: triangular fibro cartilage complex. Består av ligamenten mellan radius och ulna, ulna och lunatum, ulna och triqutrium samt diskus triangularis - en meniskliknande struktur mellan ulna och radius.
DRU-led: distala radioulnara leden
Symtom
- Smärta i handled, fr.a. vid belastning, rotation, ulnardeviation eller dorsalextension [1, 2]
- Instabilitetskänsla i handled [1]
- Ofta efter distal radiusfraktur [2, 3]
Utredning
- Foveal sign: ömhet vid palpation rakt ulnart på handled, mellan senorna flexor och extensor carpi ulnaris
- Instabilitet vid DRU-ledstest

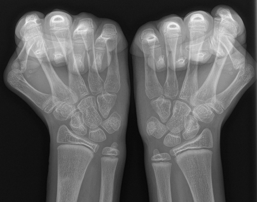
Provocerad röntgenbild som visar ökat avstånd mellan distala radius och ulna vänster hand hos ungdom.
Annars är ofta röntgenbilden normal, och krävs inte för diagnos av TFCC-skada.
Behandling
Vårdnivå: handkirurgklinik [4]
Troligen: [3]
- Vid akut instabilitet i DRU-leden: perkutan stiftfixation i 6 veckor av ulna mot radius proximalt om DRU-led
- Vid akut större instabilitet: öppen operation med återinfästning av TFCC, vid behov ligamentrekonstruktion. Felställda frakturer genom basen av ulnastyloiden fixeras med stift, cerklage eller skruv.
- Vid sent upptäckt TFCC-skada:
- Öppen eller artroskopisk operation med återinfästning av TFCC, vid behov ligamentrekonstruktion
- Vid tidigare distal radiusfraktur som läkt med fel läge av ledyta: osteotomi med korrektion av ledytan
- Vid större skada på TFCC med uttalad instabilitet: öppen operation med resektion av ärrvävnad, synovit och toppen av kaput ulna
- Vid artros eller ulnaplus: ofta ulnaförkortning
- Postoperativt hög gipsskena i 3-4 veckor, därefter låg gipsskena i 3-4 veckor, sedan ortos i 3-4 veckor.
ICD
- M24.2D: Ligamentär instabilitet i handled/finger
Referenser
- Handkirurgi av Göran Lundborg och Anders Björkman, ISBN: 978-91-44-08837-2
- ABC om Handledens ligamentskador - diagnostik, Läkartidningen 2011-10-18 nummer 42 (besökt 2019-07-06)
- ABC om Handledens ligamentskador - behandling, Läkartidningen 2011-10-20 nummer 43 (besökt 2019-07-06)
- Nivåstruktureringsplan Handkirurgi - Ortopedi 2017, från Svensk Handkirurgisk Förening (besökt 2019-06-24)
Uppdaterad: 2022-01-16 10:01:14 av Lars Johanson