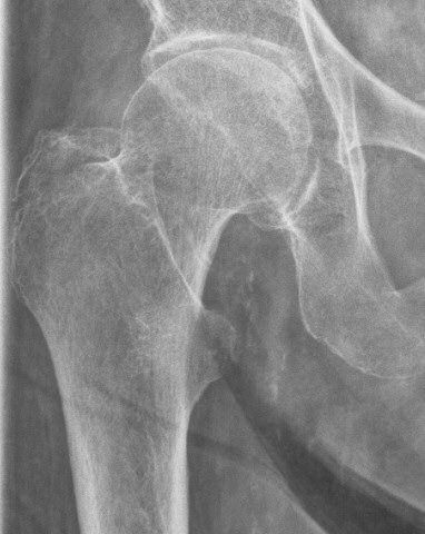
Skada: Fraktur trokanter major
Handläggning
Uppkommer ofta efter fall mot höften.
- Säkerställ att det inte är en genomgående höftfraktur
- Bör inte smärta vid belastning på rakt ben, däremot vid aktivering av muskulatur som fäster på trokanter major
- DT- eller MR-undersökning kan krävas
- Behandlas med tidig mobilisering [1]. Kan kräva inläggning.

Trokanter majorfraktur, behandlades med direkt mobilisering
ICD-10
- S72.1 Pertrokantär fraktur
- S72.10 Pertrokantär fraktur - sluten
- S72.11 Pertrokantär fraktur - öppen
Länkar
- Pertrokantär femurfraktur på internetmedicin.se (besökt 2021-08-01)
Uppdaterad: 2025-12-16 06:46:43 av Lars Johansson