Skada: Fraktur tibiakondyl
Klassificering
Schatzker används oftast.
Schatzker
- Typ I: Lateral intraartikulär klyvfraktur
- Typ II: Lateral intraartikulär klyvfraktur kombinerad med nedpressning
- Typ III: Lateral nedpressning
- Typ IIIa: Endast lateral nedpressning
- Typ IIIb: Med central nedpressning
- Typ IV: Medial intraartikulär platåfraktur, klyvfraktur och/eller nedpressning
- Typ V: Bikondylär klyvfraktur fraktur
- Typ VI: Tvärgående fraktur i tibiametafys i kombination med någon typ av platåfraktur
AO
- Typ A1: Avulsionsskada
- Typ A2: Enkel extraartikulär metafysär fraktur
- Typ A3: Komminut extraartikulär metafysär fraktur
- Typ B1: Intraartikulär klyvfraktur
- Typ B2: Intraartikulär nedpressningsfraktur
- Typ B3:Kombination av B1 och B2
- Typ C1: Klyvfraktur som avlöser båda kondylerna
- Typ C2: Klyvfraktur med splittring lateralt
- Typ C3: Klyvfraktur med splittring och nedpressning medialt
På akuten
- Kontrollera distalstatus, gärna med ankel-brachialindex (ABI).
- Om patienten kommer in med vakuumkudde: ta bort vakuumkudden, reponera vid behov, sätt hög dorsal gipsskena.
- Vid stor felställning: reponera och sätt hög dorsal gipsskena innan röntgen.
- Kontrollera distalstatus efter reponering, gärna med ankel-brachialindex (ABI). Risk för skada på a. poplitea, om ABI < 0,9 så kontakt med kärlkirurg för ev. akut operation eller angiografi.
- Slätröntgen vid misstanke.
- Ofta DT för kartläggning av frakturen.
- Punktera knäled för att evakuera hemartros i smärtlindrande syfte.
Det finns ingen exakt konsensus om operationsindikation, diskutera med bakjour. Ofta icke-kirurgisk behandling vid:
- Nedpressning < 3 mm [1] alt. 5-10 mm [2]. Man kan tolerera lite mer vid lateral/dorsal nedpressning som inte belastas vid gång, lite mindre vid central, ventral eller medial nedpressning.
- Nedpressningen täcks helt av menisk.
- Varus-/valgusinstabilitet på max 10°.
- Vidgning av tibiaplatån på max ca 5 mm.
- I så fall:
- Upplåst knäortos i 8-12 veckor, får stegmarkera [3]
- Omedelbar passiv rörelseträning [3]
- Röntgenkontroll efter 1 vecka
- Full belastning efter ca 3 månader
Förbered annars för operation. Ex-fix vid öppen fraktur eller vid stor felställning i väntan på sårläkning resp. avsvällning som kan ta 1-2 veckor. Operation oftast med platta och skruvar, ofta krävs bentransplantat eller benersättningsmedel.

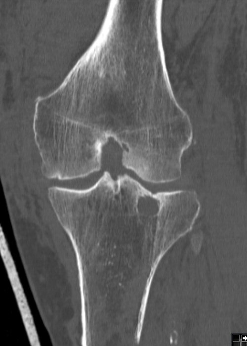
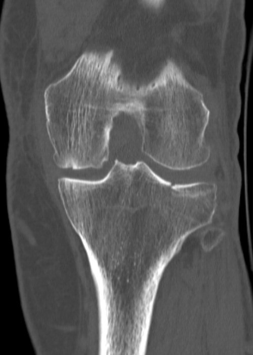
Till vänster exempel på odislocerad fraktur i laterala tibiakondylen, behandlad icke-kirurgiskt. Högra bilden efter 2 år, börjat utveckla artros.
ICD-10
- S82.1: Fraktur på övre delen av tibia
- S82.10: Fraktur på övre delen av tibia, sluten
- S82.11: Fraktur på övre delen av tibia, öppen
Referenser
- Tibial Plateau Fractures på orthobullets.com (besökt 2018-04-03)
- Tibiafraktur, proximal, hos vuxna på internetmedicin.se (besökt 2018-04-03)
- Ortopediskt traumakompendium under redaktion av G. Sandersjöö, ISBN 9789197865401
- Akut ortopedi av Jenny Önnerfält och Rolf Önnerfält, ISBN 9789144091020
- Skelett- och ledskador av läkarna vid ortopedkliniken i Karlstad, ISBN 9789188840066
- Ortopedi på akuten av Sven-Anders Sölveborn, ISBN 9789113028606
Uppdaterad: 2024-05-09 20:37:12 av Lars Johanson