Operation: LIH-spikning (Hansson Pin)
Definitioner
LIH = Lars Ingvar Hansson
Synonymer
- Collum femoris-fraktur
- Kollumfraktur
- Collumfraktur
Indikationer
- Kollum femorisfraktur Garden 1-2
- Kollum femorisfraktur Garden 3-4 hos patient < 50 år
Kontraindikationer
- Artros
- Reumatoid artrit
- Patologisk fraktur
- Relativa kontraindikationer:
- Dorsal tilt
- Volar tilt > 20°
Förberedelser
- Läs manualen (alt poster).
- Ryggläge med sträckbord.
- Ej antibiotikaprofylax.
- Biplansgenomlysning.
- Partikeltäta operationskläder (ortopedkläder) och röntgenskydd.
Utförande
- Vid dislocerad fraktur, Garden 3 och 4: Reponera under genomlysning innan tvättning - typiskt genom sträck och inåtrotation. Även vid stabil fraktur är det bra att inåtrotera, det underlättar placering av LIH-spikarna.
- Steriltvätta.
- Bestäm snittplacering i genomlysning:
- Håll k-tråd tvärgående över femur i genomlysning på frontalbild, markera en linje längs med tuberkulum minors distala kant med en penna eller genom att dra k-tråden mot underlaget.

- Håll k-tråd parallellt med femur i genomlysning på sidobild, alternativt palpera femur, markera en linje horisontellt, strax dorsalt om centrum i femur. OBS! Inte ventralt om centrum, då blir det svårt att sätta pinnarna rätt!

K-tråd hålls längs femur på sidobild. Markera längsgående linje ca 1 cm dorsalt om denna.
- Gör ett ca 5 cm långt horisontellt snitt från strax proximalt om där markeringarna korsar varandra och distalt.
- Använd pryl för att göra hål i kortex vid tänkt ingång, inte längre distalt än trokanter minors distala kant på frontalbild och någon cm dorsalt om centrum i sidobild.
- Borra med k-tråd, tråden ska gå nära kollums distala kortex i frontalbild och centralt i kollum i sidobild. Änden på k-tråden ska sluta ca 5 mm från kaputs broskkant.

- Låt k-tråden sitta kvar, borra över den med kanylerat borr, använd hylsa. Borra tills änden är ca 0,5 cm från broskkanten. Läs av längd på borret mot hylsans kant, avrunda uppåt och välj denna längd på spik.
- Det finns distanshylsor med olika avstånd mellan spikarna, välj så stor som möjligt.
- Låt borret sitta kvar, använd distanshylsan, vinkla hylsan så det andra hålet i sidobild kommer nära dorsala kortex. Se till att komma nära kalkar, ha hög hastighet på borret och för in borret långsamt, annars är det risk att borret viker av när det ligger mot kalkar.

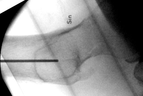
Genomlysning, läge för andra borrning. En k-tråd hålls över andra borret för att kontrollera placeringen.
- Läs av längden på borren. Det ser olika ut vid olika hylsor, antingen mot hylsans kant eller i hålet i hylsan. Avrunda även här uppåt och välj denna längd på spik. Den proximala/dorsala spiken brukar vara ca 10 mm kortare än den distala.
- Ta bort borrarna och k-tråden.
- Sätt in distala spiken:
- Känn efter i såret var hålet är, stoppa in spiken. Det finns en markering som visar åt vilket håll fjädern är, denna ska peka superiort, alltså i proximal riktning.
- Banka lätt på spiken, inre änden ska vara ca 5 mm från broskkanten, yttre änden ska precis sticka ut lateralt ur femur.
- Skruva ut fjädern.
- Sätt in dorsala spiken på motsvarande sätt, denna fjäder ska peka i ventral riktning. Båda fjädrarna ska alltså peka mot centrum av kaput.
- Spara röntgenbilder.

Kontrollröntgen med LIH-spikar i bra lägen: parallella, lagom långt inslagna, lagom långa, nära distala resp. dorsala kortex och med låsfjädrar i korrekta riktningar
- Skölj ur såret med koksaltlösning.
- Om du kommer åt fascian så suturera denna med resorberbar tråd 2 eller 0.
- Suturera subkutant med resorberbar tråd 2-0 (eller använd tråd 0 om det blev över från punkten ovan)
- Förslut såret med något av:
- intrakutana suturer ca 4-0
- enstaka suturer, gärna stående madrass, icke resorberbar ca 4-0
- agraffer
- Skriv operationsberättelse, röntgenremiss och registrera åtgärden i frakturregistret. Postoperativt:
- postoperativ röntgenkontroll
- full belastning
- trombosprofylax 4 veckor
- sutur-/agrafftagning 2-3 veckor postop
- Det kan finnas lokala rutiner för återbesök med röntgenkontroll. Vid ung patient där man reponerat frakturen, eller vid suboptimala fraktur- och/eller osteosynteslägen (fr.a. varusfelställning) så är det lämpligt med återbesök med röntgenkontroll efter ca 8 veckor med frågeställning kaputnekros, fraktur- och osteosynteslägen. Vid besvär så kan man då diskutera ev. protesförsörjning.
ICD-10
- S72.00: Kollumfraktur, sluten.
- S72.01: Kollumfraktur, öppen.
Åtgärdskoder (KVÅ)
- NFJ49: Osteosyntes av femurfraktur med cerklage, kollumspik, stift eller dylikt.
- NFJ09: Sluten reposition av femurfraktur.
- NFJ19: Öppen reposition av femurfraktur.
Referenser
- Hansson Pin System, på Swemac Resource Library (besökt 2020-05-10)
Uppdaterad: 2026-01-12 11:31:07 av Lars Johanson