Skada: SL-ligamentskada
Ruptur i ligament mellan skafoideum och lunatum. Vid distal radiusfraktur tycks det i över hälften av fallen även finnas skada på SL-ligamentet även om rupturen oftast inte är total. Denna tycks oftast läka efter 4 veckors gipsbehandling. [2]
Definitioner
DISI: dorsal intercalated segment instability. Lunatum roteras dorsalt medan skafoideum roteras volart efter att SL-ligamentet rupturerat. Kommer i förlängningen att ge artros.
VISI: volar intercalated segment instability. Lunatum roteras volart då det lunotrikvetrala ligamentet rupturerat.
SLAC = scapho lunate advanced collapse = karpal kollaps: sent skede efter SL-ligamentskada som resulterat i artros, rörelseinskränkning och smärtor.
Symtom
- Smärta centralt och dorsoradialt i handled.
- Nedsatt greppstyrka.
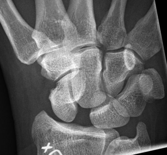
- Ökat avstånd mellan skafoideum och lunatum på frontalbild av handled. Ska normalt vara < 3 mm, > 5 mm är patologiskt. Men detta visas på röntgen först 3-4 månader efter skada. [2]
- Ibland bifynd vid röntgenundersökning av annan orsak.
Utredning
- Positivt Watsons test tyder på SL-ligamentskada.
- Jämför med slätröntgen av andra handleden.
- Man kan göra slätröntgen med provokation - med knuten hand och handleden i neutralläge, radial- resp. ulnardevierad. Detta kan visa dynamisk instabilitet med ökat avstånd mellan skafoideum och lunatum vilket föregår statisk instabilitet, men syns ändå inte förrän efter ett par månader.

Ökat avstånd mellan skafoideum och lunatum vid ulnardeviation
- MR med kontrast kan visa på ödem i SL-ligamentet vilket tyder på skada, men denna undersökning används normalt inte.
- Vid röntgenverifierad akut skada:
- Diskutera/remittera till handkirurg eller ortoped med god handkirurgisk kompetens för ev. ny undersökning, artroskopi och/eller behandling.
- Vid misstanke om akut SL-ligamentskada men normal röntgenbild:
- Sätt gips.
- Återbesök efter 2 veckor med ny klinisk kontroll.
- Om fortfarande status efter 2 veckor (svullnad, smärta/ömhet, nedsatt rörlighet eller kraft):
- Diskutera/remittera till handkirurg eller ortoped med god handkirurgisk kompetens för ev. ny undersökning, artroskopi och/eller behandling. [2]
- Vid röntgenverifierad skada med ökat avstånd mellan skafoideum och lunatum jämfört med kontralateral sida men inga symtom:
- Om relativt ung patient och sannolikt trauma max något år tidigare: diskutera med handkirurg eller ortoped med god handkirurgisk kompetens för ev. ny undersökning, artroskopi och/eller behandling.
- Annars: avvakta tills symtom, kommer troligen att utvecklas till SLAC.
- Vid verifierad kronisk skada med typiska symtom och positiv till operation:
- Skriv remiss till handkirurgisk enhet för ev. behandling.
Behandling
Vårdnivå: handkirurgklinik [4]
Akut SL-ligamentskada (max 6 veckor gammal)
- Öppen ligamentplastik [1]
eller
- Artroskopassisterad stiftning mellan skafoideum och lunatum resp. skafoideum och kapitatum [3]
Kronisk SL-ligamentskada
Ger artros i handled och slutligen SLAC (se ovan). Kan behandlas på olika sätt, t.ex. "four corner fusion" (artrodes mellan kapitatum, lunatum, hamatum och trikvetrium samt excision av skafoideum), PRC = proximal row carpectomi (excision av skafoideum, lunatum och trikvetrium), handledsartrodes eller handledsprotes. [1, 3]
ICD
- M24.2D: Ligamentär instabilitet i handled/finger
Referenser
- Handkirurgi av Göran Lundborg och Anders Björkman, ISBN: 978-91-44-08837-2
- ABC om Handledens ligamentskador - diagnostik, Läkartidningen 2011-10-18 nummer 42 (besökt 2019-07-06)
- ABC om Handledens ligamentskador - behandling, Läkartidningen 2011-10-20 nummer 43 (besökt 2019-07-06)
- Nivåstruktureringsplan Handkirurgi - Ortopedi 2017, från Svensk Handkirurgisk Förening (besökt 2019-06-24)
Uppdaterad: 2022-01-16 10:00:45 av Lars Johanson